Muslim student loses prayer ban challenge
A Muslim student at a London school has lost a High Court challenge against its ban on prayer rituals.
Michaela School in Wembley was taken...
Biden vows G7 response, ‘ironclad’ US support for Israel after Iran attacks
US President Joe Biden has condemned the Iranian drone attacks on military facilities in Israel, reiterating Washington DC’s “ironclad” support and a coordinated Group...
A cargo ship crashed into a bridge in the United States
A major Baltimore bridge collapsed like a house of cards early Tuesday morning after it was struck by a container ship, sending several vehicles...
Sweet Dreamers, Ewan Deluxe with Shush, Grey | Baby & Toddler Sleep Aid Gift...
The Sweet Dreamers Ewan Deluxe with Shush in Beige is a versatile and innovative baby and toddler sleep aid gift. Here's a breakdown of...
Ana Montes: Top spy freed in US after more than 20 years
Ana Montes - among the best-known Cold War spies caught by the US - has been released from prison after more than 20 years...
South Sudan journalists detained over video of President Salva Kiir ‘wetting himself’
Six journalists in South Sudan have been arrested over the circulation of footage appearing to show President Salva Kiir wetting himself, media rights groups...
Belgian prosecutors seek to lift immunity of 2 more MEPs in corruption probe
Belgian investigators asked the European Parliament to waive the immunity of two more MEPs suspected of wrongdoing amid a sprawling corruption scandal linked to...
Somalia security remains a concern, head of UN Mission warns Security Council
Mr. President,
2020 has the potential to be a transformative year for Somalia. A number of key national priorities are due to conclude and will...
Sailor shoots dead two civilian workers at Pearl Harbor Naval Shipyard before turning gun...
A US Navy sailor shot and killed two civilian Department of Defense employees at the Pearl Harbor shipyard before taking his own life on...
Tennessee governor not stopping planned execution Thursday
Lee Hall, formerly known as Leroy Hall Jr. Hall, a death row inmate. Hall is scheduled to be electrocuted Thursday. Hall walked onto death...
Justin Timberlake finally speaks out on THAT night out with co-star Alisha Wainwright
Justin Timberlake has issued a public apology to his wife of seven years Jessica Biel, almost two weeks after he was caught holding hands...
Elon Musk returns to court in L.A. to give more testimony in defamation case
Fighting back tears of emotion, cave rescue hero Vernon Unsworth told a Los Angeles court that he felt ‘raw, humiliated, ashamed and dirtied’ when...
Palestinian mother and son reunited in Egypt after 20 years apart
Palestinian journalist Amjad Yaghi was just nine years old when his mother left the Gaza Strip on what should have been a short trip...
Google bans Tory election adverts featuring edited BBC footage from YouTube
Google has removed Conservative Party election adverts which used edited BBC clips from its video-sharing platform YouTube.
The move follows a similar response by Facebook,...
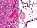
Female vaper, 49, suffers an incurable lung disease found in metal factory workers
A vaper has been diagnosed with an incurable form of lung scarring typically found in metal factory workers.
Doctors say the rare disease was likely...
New drug may REVERSE dementia, study suggests
Scientists have a new theory for what may cause dementia as the brain ages - and a way to reverse it, a new pair...































